I used to think that I had life figured out pretty well. Do this, don't do that, and things will go the way you want. After seeing some hard stuff and going through some hard stuff myself, I've realized that life is more complicated than I previously thought.

My amazing wife Audra and I have been married since 2009. She is a devoted partner and my best friend. Together we are walking hand in hand up the hill of time, trying to understand how to live lives that matter and make a difference.

Before we married, we discussed our mutual desire to welcome children into our family. God has blessed us with five little ones, each with a unique story. This has not been the journey we imagined at the beginning. But this is our journey, and we are grateful for each child.


Melody Hope

On August 1, 2009, we learned that God had started knitting together a baby in Audra’s womb. How excited and eager to be parents we were!

Our First Little Peanut

Our First Little Peanut

Pregnancy was hard for Audra, but she endured it well. One month. Two months. Three months. Four months. We gave each of our mothers “World Greatest Grandma” t-shirts. We started collecting baby gear. We got three pumpkins for the front porch.

Our Growing Family

Our Growing Family

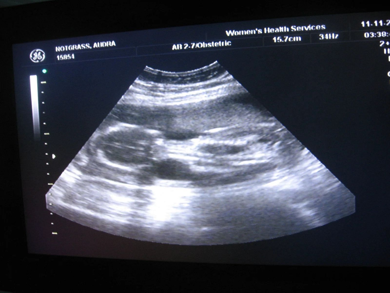
Everything seemed to be fine until November. At the scheduled ultrasound to see our baby’s gender, the ultrasound technician seemed concerned. She kept looking at something, but she wouldn’t say what was going on. She left and returned with someone else. They looked some more and printed more pictures. Then they consulted with the OB.

He invited us into another room and explained what they found. Our baby had a growth on her neck and unusual spots in her abdomen. The doctor thought they were symptomatic of a genetic disorder called Turner’s Syndrome. He warned us that most babies with Turner’s die in the womb. We left the office stunned and disheartened.

Melody Hope Notgrass

Melody Hope Notgrass

After a couple of days of prayer and research, we were optimistic. We learned that women with Turner’s Syndrome (it only affects females) can live relatively normal lives, though they must often deal with stunted growth and infertility.

For the next three weeks, we hoped for the best. We tried to go about our daily activities and made a trip to Missouri for Thanksgiving.

Audra and I were both involved with jail ministry at the time. On December 1, we drove to the county jail to meet with the inmates. In the car, I put my hand on Audra’s belly and felt a faint kick, a first for me. Audra told me later that after the diagnosis, she had prayed that if something happened to our child, I would get to feel a movement.

On December 2 we went to the doctor for a scheduled check up. After failing to find a heartbeat with the handheld monitor, we went back to the ultrasound room. No movement. No heartbeat. Sometime that morning, Melody had gone to be with Jesus.

The next day, December 3, Audra gave birth to our 8-inch, 13-ounce treasure created in God’s image and entrusted to our care for five short months. She was beautiful. We spent a couple of hours holding her, wishing and wanting.

Audra was discharged on the 4th, and we went home. We took Melody’s body with us, wrapped in a small box from the hospital. I went to the hardware store to buy lumber to make a casket. We lived in a small town, and the owner gave me what I needed.

I sawed the boards by hand and screwed a rough wooden box together. The cold ground and descending night made digging a grave difficult, but I forced myself through anger and sadness to complete the task. There we laid her body to rest in a country cemetery where the locals had been burying their elders and their babies for a long time.

That night a beautiful snow covered the ground, including her grave site. We built a little snow girl in her memory, which wore the pink hat they had given us at the hospital.

Safe in the Arms of Jesus

Safe in the Arms of Jesus

The snow could not take away the pain. Nothing can do that completely. But the snow was a little sign that a good God was still taking care of us in our pain. He is not the God of the dead, but of the living.


Avery John

Five months after we lost Melody, in May of 2010, we learned that we had another baby to love. We were on a business trip, and we drew this on the shore of Lake Michigan:

Another Baby on the Way

Another Baby on the Way

The months passed slowly. After our experience with Melody, waiting and wondering about this child’s safety was difficult to bear. We tried to trust.

Our Little Man

Our Little Man

We found out that our baby was a boy. My grandfather’s name was Wesley Biddle Notgrass. My father is Raymond Wesley. I am John Raymond. We wanted to continue the tradition, so we chose the name Avery John.

Things went well through the fall and into the winter. Avery’s due date of January 14 came and went. The doctor kept a close eye on all the vital signs and finally recommended an induction on January 26. That afternoon we welcomed our precious son into the world.

Avery John Notgrass

Avery John Notgrass

Before Avery’s birth, we prayed that God would give him a joyful spirit. He did. Whether it was reading the same book over and over, banging on the piano and clapping for himself, meowing at the cats, or having banana and eggs for breakfast, Avery enjoyed living. He was a blessing to people. He didn’t care what they looked like or where they came from; he loved the opportunity to smile at anyone and everyone.

Avery Liked to Eat

Avery Liked to Eat

Avery was always on the small side, but he was a healthy little boy for most of his life. In May of 2012 he got an infection that would not go away, and he ended up in the emergency room. He came home but ten days later he was at Vanderbilt’s Monroe Carell Jr. Children’s Hospital in Nashville. His blood counts were dangerously low.

After four days, multiple blood transfusions, and lots of antibiotics, we brought him home again on a Friday with plans for follow up care. On Tuesday his blood levels were good. Then on Friday he was back at Vanderbilt fighting for his life. (No one knew the precise cause at the time, but later analysis indicated hemophagocytic lymphohistiocytosis [HLH], a rare blood disorder that causes multiple complications.)

Avery seemed to be stable for a few hours, but then his heart stopped. The hospital personnel made heroic efforts to revive him and hook him up to an ECMO machine to help his heart do its job. Despite fleeting positive signs in the night, by Saturday morning, his heart was no longer working at all. The lead physician gently explained the situation to us, and we agreed to remove all the machines.

About thirty friends and family members crowded into the ICU room with us as we held Avery. We sang about Jesus and heaven. We prayed. We cried a lot.

We often talk about once-in-a-lifetime opportunities. Audra has observed that everything is a once-in-a-lifetime opportunity. You never know which meal or trip to the park or story time with your child might be your last. I have a few regrets about my time with Avery. I got impatient with him on occasion. I missed some chances to connect with him on his level. But I do not regret one minute that I spent holding him, reading to him, playing with him, or taking him with me on an errand.

Lots of Special Memories

Lots of Special Memories

Since before his birth, we had also prayed that Avery would make God’s name known among the nations. Wherever Avery went, his joyful spirit touched people in a special way. The story of Avery’s sickness and passing touched hundreds more people whom Avery never met. In the first few weeks after his passing, Avery’s story restored a marriage, rebuilt parent-child relationships, saved a child from abortion, and prompted at least three people to make things right the Lord. We heard directly or indirectly from people in at least 36 states who prayed for Avery and for us, and the number is probably higher since we heard from many people we did not know. In addition to this are people in the United Kingdom, Zimbabwe, Mozambique, Australia, Japan, Brazil, Canada, South Korea, Germany, China, Israel, the Philippines, and thanks to my cousin in the military, we had prayers coming from Afghanistan.

If God had asked me beforehand if I was willing to give up my son in exchange for all of this, I can’t imagine saying yes. But God didn’t ask me to decide. He just asked me to trust him. When Avery was in the womb, we dedicated him to the Lord. On June 2, 2012, we had the unsought opportunity to follow through on that dedication and let Avery go.

One of Avery’s young friends spoke to Audra and me at church after it happened. He said, “I heard about Avery. That was sad.” His condolences were right on target. Better than flowery words or frail attempts at explanation, a simple acknowledgement of grief was what we needed. Many lonely months have passed, and we still don’t have answers to all our questions. But we see good. Like Henry, who made his appearance seven weeks after Avery went to glory. And we are thankful for the sixteen precious months (plus nine in the womb) that we had with our little man Avery.

Remembering Avery

Remembering Avery

Be still, my soul: when dearest friends depart,
And all is darkened in the vale of tears,
Then shalt thou better know His love, His heart,
Who comes to soothe thy sorrow and thy fears.
Be still, my soul: thy Jesus can repay
From His own fullness all He takes away.

(From "Be Still My Soul" by Kathrina von Schlegel. Translated by Jane L. Borthwick.)


Glory Dawn

In August of 2011, two years after we lost Melody and six months after Avery arrived, we were surprised to learn that we had another baby on the way. Audra and I had a dinner date the next day. We sat on the same side of the booth and acted like newlyweds as we usually do. The server asked if we were celebrating anything special. We had not thought about it, but I said we were expecting another baby. That woman was one of the very few people we got to share our news with.

The next day Audra began to suffer a miscarriage. We would not have any images to keep of this baby. But she had gone with us to the county fair a couple of days before.

At the County Fair

At the County Fair

We did not name this baby for a while. About a month later, I attended a Walk to Emmaus. During a special prayer time, the name Glory Dawn came to me. She is one more blessing we anticipate meeting when the roll is called up yonder.


Henry Samuel

In November of 2011, God blessed us with another child, our fourth in three years. OB appointments were not quite as hard, but we were always relieved when we heard the heartbeat and got a good report.

Another Beautiful Peanut

Another Beautiful Peanut

During the ultrasound to find the child’s gender, the technician noticed that the umbilical cord only had two vessels instead of three. A two-vessel cord is often present when other abnormalities are found, but she did not find any other abnormalities. Our OB sent us to a high-risk specialist for more detailed observation. Henry did not cooperate on the first visit, so we had to go back for a second check up. The high-risk folks did not find any other cause for concern, so we just had to wait it out.

We had seen Henry many times as a blob of grainy pixels. Finally on July 25, 2012, we got to see Henry Samuel Notgrass in full color and true 3-D. He was beautiful like our other babies.

Henry Samuel Notgrass

Henry Samuel Notgrass

It seems we always have more or less drama in the hospital, usually more. The umbilical cord was wrapped around Henry’s neck, and for a little while, the hospital personnel were concerned about slow capillary refill, indicating a possible problem with blood circulation. The hospital pediatrician was the same one who had attended to Avery before he went to Vanderbilt. As an acquaintance of my family outside the hospital, she was especially intent on making sure Henry was okay. The OB and the pediatrician disagreed about the implications of the two-vessel cord, which was an amusing professional conundrum looking back on it.

In my sleepy state, I followed Henry around the hospital for blood tests and scans. Everything came back okay, so we were discharged on the second day.

Pure Wonder

Pure Wonder

One of the physicians who cared for Avery at Vanderbilt recommended that if one of Henry's blood counts ever dipped below 1000, he should go to the hospital. We had Henry tested when he had a fever, and his count was 999. So right before his first birthday, Henry spent a week in the children's hospital.

The doctors were great and very cautious given our history. Henry's numbers continued to drop for a few days, but they bounced back, and we never really understood what happened. He has rarely been sick at all since then, for which we are thankful.

Henry has more energy than Audra and me put together, multiplied by a gazillion. He loves to talk, to create, to destroy, to laugh, to read, and to snuggle.

Henry is a joy and a treasure. Our prayer for him is that we could see him grow up to be God’s servant.

IMG_20171104_161402.jpg

Tobias Flynn

In September of 2014, we learned that Henry had a sibling on the way. After finding out that this sibling happened to be a brother, we chose the name Tobias Flynn. You probably did not notice that all of our other children have names that end in "y". Tobias does not end in "y," but we are calling him Toby, so it's works out okay.

Toby was born on May 28, 2015. He is a fine fellow and a wonderful addition to our household.

Toby is the smileyest baby ever. He enchants us every day. He was slower to talk than Henry was, but he has a lot going on inside his little head. He is a fearless adventurer, ready to climb, jump off, or tackle anything. And he eats and eats and eats.

IMG_20171109_163357.jpg

Our prayer for Toby is that we can see him grow up to bring joy to many people. He is already doing so.


Being a dad is a huge responsibility, but I am honored to have it. Having children makes life harder in some ways, but having children also makes life so much better. Having children opens us up to the possibility of deep pain, and it gives us the potential for extraordinary joy. I get to share life with two awesome kids and participate in their wonder at the world God gave us.

 
IMG_20180114_134933.jpg